Comprehensive Gum Care In Pune
- Home
- Comprehensive Gum Care
Comprehensive Gum Care In Pune
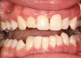
Comprehensive Gum Care Near Me in Kalyani Nagar, Gum disease is an inflammation of the gum line that can progress to affect the bone that surrounds and supports your teeth. The three stages of gum disease — from least to most severe — are gingivitis, periodontitis and advanced periodontitis.
Since it is common for gum disease to occur, especially as we age, many people are referred to a periodontist if gum disease is detected. During normal check-ups with a family dentist, periodontal disease will usually be noticed. If you notice these symptoms in between dental check-ups, you can usually see your dentist and ask for a referral to a periodontist
Signs & Symptoms:
- Gums that easily bleed when brushing or flossing
- Swollen, red or tender gums
- Gums that recede or move away from the tooth
- Persistent bad breath or bad taste in mouth
- Loose teeth
- A change in the way your teeth come together
- A change in the fit of partial dentures
- Visible pus surrounding the teeth and gums
- Sharp or dull pains when chewing foods
- Teeth that are overly sensitive to cold or hot temperatures
4.9 Google Ratings
13+ Expert Dentists
10+ Awards
10K+ Happy Smiles
10+ Years in Service
10K+ Root Canal
500+ Invisalign
Highly Rated on Google
Non-surgical Treatments for Gum Disease In Pune
Treatments for gum disease that don’t involve surgery include:
Professional dental cleaning: During a typical checkup your dentist or dental hygienist will remove the plaque and tartar (plaque that builds up and hardens on the tooth surface and can only be removed with professional cleaning) from above and below the gum line of all teeth.
Scaling and root planing: This is a deep-cleaning, nonsurgical procedure, done under a local anesthetic, whereby plaque and tartar from above and below the gum line are scraped away (scaling) and rough spots on the tooth root are made smooth (planing).
Surgical Treatments for Gum Disease In Pune
Some treatments for gum disease are surgical. Some examples are:
- Flap surgery/pocket reduction surgery. During this procedure the gums are lifted back and the tartar is removed. In some cases, irregular surfaces of the damaged bone are smoothed to limit areas where disease-causing bacteria can hide. The gums are then placed so that the tissue fits snugly around the tooth.
- Bone grafts. This procedure involves using fragments of your own bone, synthetic bone, or donated bone to replace bone destroyed by gum disease.
- Soft tissue grafts. This procedure reinforces thin gums or fills in places where gums have receded.
- Guided tissue regeneration. Performed when the bone supporting your teeth has been destroyed, this procedure stimulates bone and gum tissue growth.
- Bone surgery. Smoothes shallow craters in the bone due to moderate and advanced bone loss.
Trust Braces & Smiles for expert Periodontist services in Kalyani Nagar and Periodontist in Viman Nagar. Our skilled professionals specialize in advanced Gum Disease Treatment in Pune, providing comprehensive care for optimal gum health. With precision and personalized attention, we ensure effective solutions for your periodontal needs. Schedule your appointment today and experience superior Periodontist services at Braces & Smiles in Pune.



Question & Answer
Gum disease often produces symptoms such as red, tender gums and bleeding while flossing. You also might notice bleeding while eating hard or crunchy foods
As gum disease progresses, it can turn to periodontitis. Symptoms are more severe than those found with gingivitis. Pockets will get larger and you might notice pus seeping out between your gums and your teeth. Your teeth might get loose. You might get sores in your mouth or struggle with a foul taste or smell coming from your mouth.
Periodontitis can cause tooth loss and serious infections. In rare cases, the infection can spread. There are also indications that dental infections can cause heart problems or exacerbate the symptoms of diabetes
Causes include smoking and poor dental hygiene. There are also risk factors you might not be able to control, such as genetics, age and underlying diseases like diabetes or heart disease.
A periodontist is a gum specialist. They help prevent, diagnose and treat gum disease. They also place dental implants.
Having excellent oral hygiene and seeing your dentist regularly can help prevent gum disease. Quit smoking if you currently smoke. Let your dentist know what medications you are on because some drugs can cause gum inflammation. Finally, follow your dentist’s recommendations when it comes to keeping your gums and teeth healthy.
Symptoms include severe gum discoloration, loose teeth, receding gums, pain or tenderness in the gums, severe bleeding and swelling.
Serious infection of the gums is rare in young children. However, it is possible to develop the problem at any age. Even kids who are very conscientious about brushing their teeth can end up with gingivitis, which may advance if left untreated